Back in April, I took my first cycle of 50mg clomid (CD4-8), plus the1500mg metformin to help with PCOS. Next came 100mg prometrium and 81mg baby aspirin. My cycle was finally normal! Yay! It took 6 months, but finally something worked.
By May, I was so relieved to see that all it took was a low dose of meds to help, a wonderful doctor who listens, Dr.Shwaluk, and a nice OB at the regional fertility clinic, Dr.Greene. The "fix" was actually quite simple actually and cost all of $15 in medication.
Wednesday May 18th I decided to take an internet cheapie (IC) HPT. It was BFN. Thursday May 19th at 10dpo, I took a dollar store HPT along with an Internet cheapie test. The IC was pretty white and I took it to also be negative. The dollar store test showed a very faint line. That night we left for a May long camping trip in our new trailer. I didn't say a word. I was in disbelief especially after our previous experience in October of 2010. Friday May 20th I took a FRER and it had a clear second line. Not as dark as the control line but nice and solid. It was 11dpo. Saturday May 21st I took a first response digital test and it came up saying "+YES"! I still didn't tell anyone. I had a good feeling that being on metformin, prometrium and baby aspirin I had a fighting chance to keep my baby. I also didn't have the uneasy feelings and intuition like I'd had the first time. I stayed calm and kept on camping as if nothing was going on. Sunday May 22 I took another FRER. Darker lines!! I was ecstatic. In October my lines had never really darkened. This was great news! I still didn't tell anyone.
| FRER Tests from May 20 & May 22nd |
Week Four:
Monday May 23rd, Victoria Day, I set up DH's iPhone to record a video and put it in our trailer on a shelf. I called DH over and had him close his eyes. In his hands I placed a Starbucks customizable cup, on which I wrote the words "you are going to be a daddy!", "we're pregnant!" and "xoxoxo". I drew two baby rattles on it as well. Inside the cup I placed the Clear Blue Digital HPT which said "Pregnant 1-2weeks" measured from conception.
| 4 weeks and bloated |
Week Five:
This week I was on pins and needles just hoping that everything was growing properly and that our baby was healthy. With almost no pregnancy symptoms I hardly believed it myself. Started to feel a tiny bit of nausea this week when I hadn't eaten in awhile. The nervousness for the next week's ultrasound had me checking every twinge and feeling. I just hoped that at the dating ultrasound they would be able to tell me/show me that everything was okay and I was measuring right on par with where I thought I should be. It's no fun to have to worry that much! I kept on telling myself that I was doing everything I could do and that it was in natures hands now, also that everything would be all right.
I treated myself to a massage with Tonita at the chiropractors office. It was so nice to relax for an hour. I think this is a therapeutic ritual which I may continue well into pregnancy. Every two weeks sounds great to me. We also went with my parents to Edmonton on the Wednesday to the U2 concert!! The show was amazing to watch and just being there with DH and my parents knowing there was a teeny baby in my belly, made me so happy. Finally life was starting to replicate my dreams. It was so much fun. We stayed in a nice hotel and ordered late night pizza at 3am. The next morning we slept in and then went to IHOP for pancakes. Yum. We spent the next four days at the lake visiting my parents. It was so hard to keep my mouth shut!
Week Six:
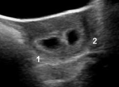
I went for an ultrasound on Monday June 6th at 6 weeks along. I still had little symptoms. I was just more tired than normal, had some food aversions and a bit of a bloated belly. They told me I was measuring 6w2d (they measure the crown to rump length of the baby). We couldn't really see too much as it was still early and, let's be honest, I am terrible at reading ultrasound photos.
Also the biggest news of all..there were two gestational sacs! We saw only one fetal pole, which was half hidden in the shadows, but they couldn't see anything in the second sac. So we had to wait two weeks for a follow up scan to see what may unfold. By then they said we should be able to see so much more. I was just glad to hear a bit of positive news. Even though my worries were not quenched in the least.
![]() |
| 6w2d - Two sacs! |
This was another week of worry. I treated myself to another relaxation massage. An hour and a half wasn't nearly enough time. It was heavenly but I was pretty tense and didn't really like the feeling of lying on my belly.
We still didn't have much of an idea if everything was going well or not. Not having any information with my overactive imagination is like pouring gas on a fire. It's never a good thing. I knew the next few weeks in the first trimester were crucial to ensure all was healthy. At this point, I just wanted to see heartbeats. At least one heartbeat. I prayed and thanked the universe, mother nature and god for such a beautiful gift. I imagined seeing two healthy babies with strong teeny heartbeats. I could only try my best to relax and take good care of myself. At some point I realized that it was out of my hands and that our baby(ies), and my body, knew what they needed to do.
| 7 weeks |
My second ultrasound was on June 21st at approx 8w2d going by the last measurement on U/S. We went into the scan nervous that there may only be one developing baby and/or no heartbeats if something had gone sideways. It was a very scary day full of nerves and yet exciting all at once.
When the tech told me there were two babies I nearly cried. Then she did her best to show me both of the heartbeats flickering on the screen at the same time. I saw two little blob shapes with little flickering pieces in the middle. This is when my eyes watered up. I covered my mouth in disbelief and awe. I could have watched that screen for the next 7 months.
Then DH was allowed into the room and got to see the flickers too. He said it must've been dusty in there, as his eyes welled up. It was so wonderful that he was able to see the miracles we'd created. He said at that moment it started to feel real to him. He was so happy.
The results came back that Baby B measured 16.8mm(8w1d) and had a heartbeat of 173bpm & Baby A measured 17.7mm(8w2d) with a heartbeat of 167bpm. (though it's entirely possible that I've mixed up those stats. I guess time will tell.)
I read that once you see a heartbeat, the chances of loss drop to less than 3-5%. I find some small piece of comfort in that statistic, and think that if you flip it around, a 95-97% chance of a beautiful happy outcome is amazing!
We are pregnant with twins!! I have three hearts beating within my body. I can't help but be overwhelmed by that beautiful thought. We can't wait to watch them grow big and strong over the next 7 months. The excitement started finally this week and yet I'm still in disbelief and thankful every single day.
Week Nine:
I was set to go to the Low Risk Maternity Clinic on June 29th for my first appointment to see the intake nurse. I figured that with twins I wouldn't be able to go to the Low Risk Clinic any longer, so I called and they confirmed my thoughts. I now needed a referral to an OB from a doctors office. What I didn't know was that in order to get a referral I had to have a bunch of blood work done which takes a week (or two) to get the results back. I could have had this done a long time ago. I went to the new walk-in clinic by our house and started the process. Then the next day went to the Lab to have blood taken. I go back next week to find out if they will give me a referral and more importantly, a requisition form to EFW the only place in the city which will do NT scans at 12 weeks on twin pregnancies.
Now I'm hoping we will still have time enough to get in for the NT scan. They have to do it between 11-13 weeks. We are also planning to go to the farm in the middle of that window, so fingers crossed that it will all work out wonderfully.
I've also been feeling about the same, no huge amount of symptoms other than being tired, food aversions and now eating a lot (and worrying about getting overly fat because I feel I'm eating the wrong things). My other major worry this week is what if one or both of the babies has stopped growing. I really hope to see them on an u/s scan before we do go and tell our families in week 12!
| 9 weeks |
On July 4th, right after the long weekend, I went back to the walk-in clinic for my blood test results. We'd spend the long weekend at home, doing home repairs, which was nice and yet made for the longest wait to get my results and hear if the doctor would send me for a u/s prior to our vacation, plus an NT scan hopefully right when we got back home.
That Monday after work I returned to the walk-in and they told me that all of the blood tests which had come back, were good. The doctor gave me the forms for the NT blood work which I was to complete no later than 3 business days prior to my scan (I did it right away just to be safe), and he also gave me the EFW paperwork so we could get our NT scan. When I called EFW (from the parking lot outside) they were very nice and said I could come in Thursday July 14th. Right in time to tell our families! She was confused about my dates as I kept telling her the dates going off of the previous u/s scan. She took the LMP date instead so we could get in the 14th and she figured I was 5 days off. So I guess we will see on Thursday where they think I am. I'm hopeful that our babies will be big enough to do the scan and that all will be perfectly healthy and happy.
This week I also noticed that I have had a bit more energy and don't get tired walking up the stairs or standing for long periods of time anymore. I also have noticed that my belly doesn't seem as large as it did last week, which I am hoping is just because my bloat level has gone down.
I continue to pray everyday that our babies will be healthy and strong. Thursday should give us some much needed comfort. Most of all we just can't wait to finally tell our families the good news!
| 10 weeks |
The week was long and full of waiting. We were nervous for the u/s just as we had been previously for the 8w scan. I'm beginning to think that it is normal to worry before the scans and that everything will work out perfectly. My body and the babies know what they are doing. I'm just impatient! I guess this is a mother's worry and I'd better get used to it.
On Thursday July 14th, we went to EFW for our 12w NT scan. The results came back wonderfully. Both of our babies were measuring 12w2d (5 whole days ahead of schedule) and they both had HBs of 163. Their chances of tristomy 12, 18 or 13 were all super low which made us quite happy. We were so very pleased to see for ourselves that both of our babies are healthy! It's still an overwhelming feeling and I still don't really fully believe that this is real. I keep on asking DH everyday if the babies are okay in my belly. I can't yet feel them moving but am hoping to very soon.
We visited my parents at the lake on the Friday and Saturday at the tail end of the week. We told my parents the good news by bringing them grandma/grandpa burgers from A&W for lunch to see how long it took before it sunk in. My mom asked if this was "like the commercial" and then the figured it out and gave big hugs all around. It was really exciting to finally be able to share our great news with my parents. My parents, being first time grandparents were overjoyed.
We also gave them a copy of our 12 week U/S photo in a frame and an attached poem which read:
"We do not have faces to see, or put inside of frames.
We do not have soft cheeks to kiss. We don't yet have our names. You can't yet hold our tiny hands, nor whisper in our ears.
It's still too soon to sing a song, or cuddle us so near.
All will change come January, That's when they say we’re due.
We’re your new grandbabies, and we can't wait till we meet you.
All we ask between now and then, Is your patience while we grow.
We promise we’ll be worth the wait, Because of all the love we'll know.
What we have to give you now, is a wish to you from your grandbabies to be.
We cannot wait to be a part, of this wonderful family."
Week Twelve:
We spent week 12 at the farm, and told DHs parents by giving them the framed poem as well and DHs mom was in tears when she asked, "Is this you?". DHs parents were also overjoyed to hear our news. They haven't had babies in the family for 12 years now. We can't wait to be able to introduce them to their two new grand-babies in Dec/Jan!
I am now 13 weeks along and could not be doing better. So far, no news is good news is my motto. I have no idea how we were able to keep this from everyone for all of this time. I'm so very thankful each and everyday for our miracle babies. We have told our families and are now sharing the wonderful news with our friends, coworkers and the world. We pray that all will continue to be healthy and we will have a wonderful happy pregnancy for the remainder of 2011 (hopefully into 2012) ending with two perfect babies.
What a wonderful gift & year it is going to be! We are so excited and look forward to adding to our very own family!
What a wonderful gift & year it is going to be! We are so excited and look forward to adding to our very own family!










